![]() |
||||||||||||||||||||||||||||||||||||||||
|
||||||||||||||||||||||||||||||||||||||||
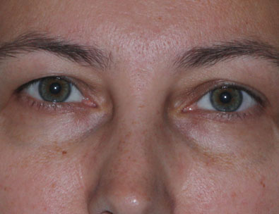
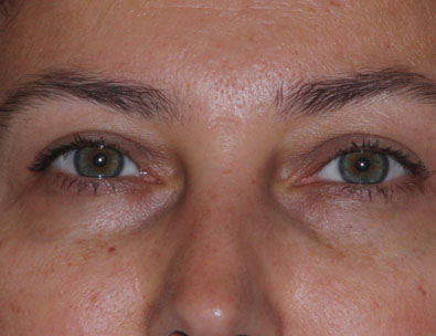
| Главная :: Операции на лице :: Блефаропластика (пластика век) :: Пример 8 | ||||||||||||||||||||||||||||||||||||||||
|
||||||||||||||||||||||||||||||||||||||||
|
© 2009-2024 Ничкова О.Ю. г.Екатеринбург |
||||||||||||||||||||||||||||||||||||||||
| лучшая, лучший, пластическая, пластический, хирургия, хирург, Ничкова, Ольга, Юрьевна, Екатеринбург, азиатские, глаза ,Операции, на, лице, Блефаропластика, (пластика, век), Пример, 8 | ||||||||||||||||||||||||||||||||||||||||